Radiologia stomatologiczna od podstaw

Stomatologia obrazowa widzi milimetry, które zmieniają leczenie

Pantomogram, zdjęcie zębowe, cefalometria i CBCT nie są zamiennikami. Każde badanie odpowiada na inne pytanie: próchnica, korzeń, kość, kanał żuchwy, ząb zatrzymany, implant, ortodoncja albo uraz.

OPG
przegląd łuków zębowych
CBCT
trójwymiarowa anatomia
FOV
pole tylko tak duże, jak trzeba
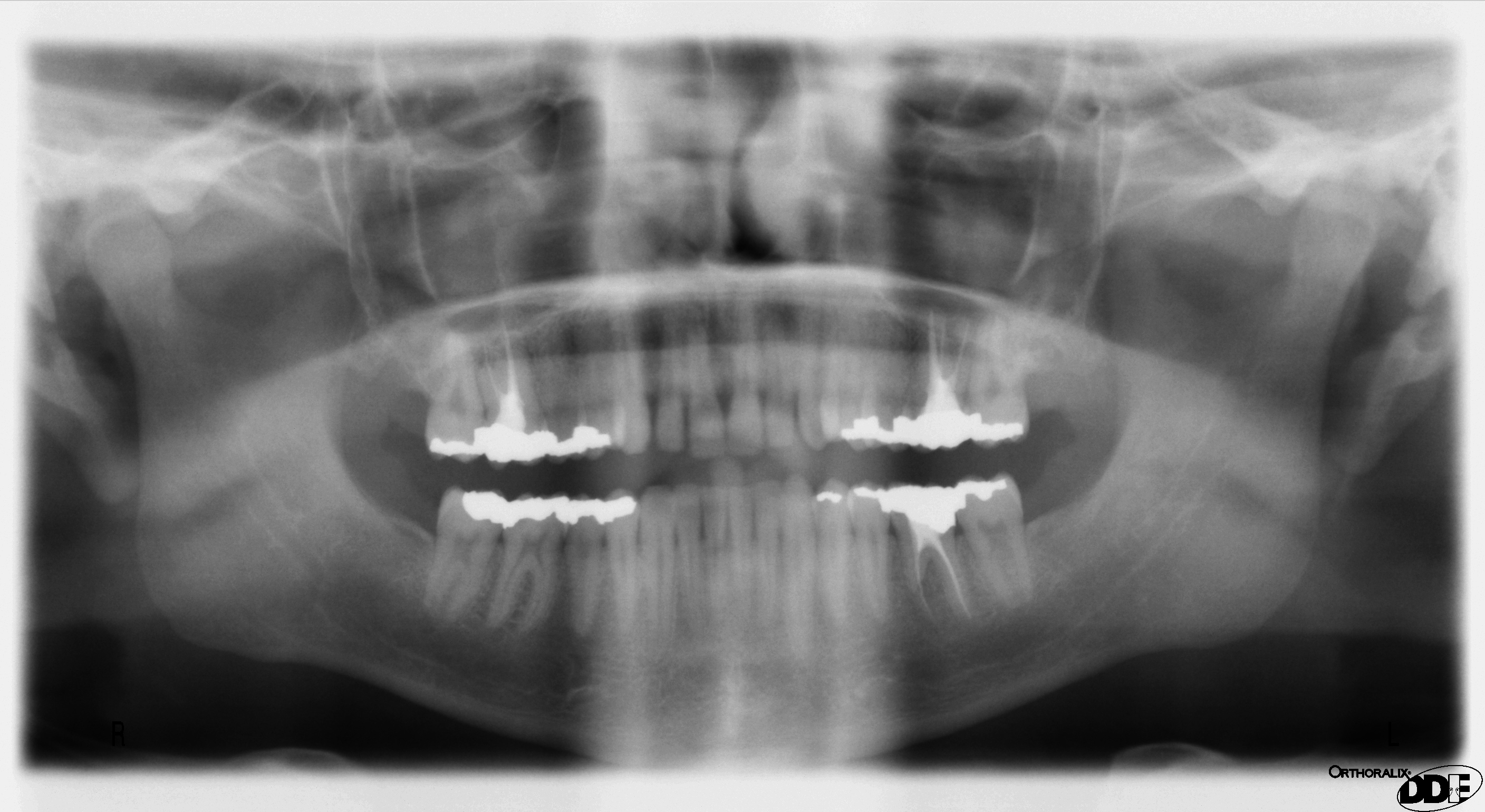
Pantomogram jako przykład obrazowania stomatologicznego
Pantomogram jest świetną mapą startową, ale nie zastępuje zdjęć punktowych ani CBCT, gdy pytanie wymaga większej precyzji.

Stomatologia obrazowa w skrócie

To dział o bardzo małym polu widzenia i bardzo dużej odpowiedzialności. Milimetr może decydować o kanale korzeniowym, implancie, nerwie albo planie ortodontycznym.

Detal

Zdjęcie punktowe bywa dokładniejsze niż panorama

W stomatologii „większy obraz” nie zawsze znaczy „lepszy obraz”. Próchnica styczna, wierzchołek korzenia czy szczelina ozębnej często wymagają badania wewnątrzustnego.

Mapa

Pantomografia porządkuje sytuację

OPG daje przegląd szczęki, żuchwy, zębów i części struktur sąsiednich. Pomaga zaplanować dalsze kroki, ale ma ograniczenia geometrii i ostrości.

Przestrzeń

CBCT odpowiada na pytania trójwymiarowe

Tomografia stożkowa pokazuje relacje przestrzenne: kanał żuchwy, zatokę szczękową, blaszki kostne, zęby zatrzymane, resorpcje i plan implantologiczny.

Bezpieczeństwo

Najpierw uzasadnienie, potem ekspozycja

Badanie powinno mieć jasny cel kliniczny, dobrane pole obrazowania i parametry, które dają diagnostyczny obraz bez niepotrzebnej dawki.

Rodzaje badań stomatologicznych

Dobór metody zaczyna się od pytania klinicznego, a nie od aparatu stojącego w gabinecie.

Zdjęcia wewnątrzustne

Okołowierzchołkowe, skrzydłowo-zgryzowe i zgryzowe. Najlepsze do drobnych struktur zęba, próchnicy stycznej, leczenia kanałowego i przyzębia.

Pantomografia

Przegląd szczęki i żuchwy: zęby zatrzymane, ósemki, zmiany kostne, stan ogólny uzębienia i planowanie dalszej diagnostyki.

Cefalometria

Obraz czaszki do analizy ortodontycznej: relacje kości, zębów i profilu tkanek miękkich, plan leczenia i kontrola zmian.

CBCT

Obraz 3D do implantologii, endodoncji, chirurgii, urazów, zębów zatrzymanych i sytuacji, gdy 2D nie wystarcza do bezpiecznej decyzji.

Jak wybrać badanie?

Najlepszy workflow jest prosty: pytanie kliniczne, najmniejsze potrzebne pole, właściwa technika, kontrola jakości.

1

Problem kliniczny

Próchnica, ból, uraz, implant, ortodoncja, kanał, ząb zatrzymany albo kontrola leczenia.

2

Czy wystarczy 2D?

Jeżeli zdjęcie punktowe albo OPG odpowiada na pytanie, CBCT nie powinno być wyborem automatycznym.

3

Zakres obrazu

W CBCT pole FOV powinno obejmować tylko obszar potrzebny do decyzji. Mniejsze pole zwykle oznacza mniej niepotrzebnej ekspozycji.

4

Jakość techniczna

Pozycjonowanie, brak ruchu, artefakty metalu i prawidłowe parametry decydują, czy obraz da się wiarygodnie ocenić.

5

Decyzja

Badanie ma sens, jeśli wynik zmienia leczenie, kwalifikację do zabiegu, bezpieczeństwo albo dalszą diagnostykę.

Ochrona radiologiczna

Dawki w stomatologii są zwykle niskie, ale badania są częste i dotyczą także dzieci. Dlatego liczą się uzasadnienie, optymalizacja i unikanie powtórek.

Uzasadnienie

Badanie musi mieć cel

Obrazowanie „na wszelki wypadek” bez pytania klinicznego to zła droga. Najpierw decyzja, czego szukamy.

Kolimacja

Obrazuj tylko potrzebny obszar

Małe pole, dobór FOV i parametry pediatryczne zwykle dają większą ochronę niż późniejsze tłumaczenie dawki.

Pozycjonowanie

Dobra technika ogranicza powtórki

W OPG znaczenie mają linia frankfurcka, pozycja języka, stabilizacja głowy i usunięcie metalu.

Kontrola jakości

QC to realna ochrona pacjenta

Analiza odrzuconych zdjęć, testy aparatu i szkolenie personelu zmniejszają liczbę niepotrzebnych ekspozycji.

Start dla pacjenta

Co zdjąć przed badaniem?

Kolczyki, łańcuszki, spinki, ruchome protezy, okulary i elementy metalowe z okolicy głowy oraz szyi, jeśli personel o to poprosi.

Co robić w trakcie OPG?

Stać nieruchomo, zagryźć uchwyt, oprzeć język o podniebienie i nie połykać przez kilka sekund. To bardzo poprawia jakość obrazu.

Co z ciążą?

Zgłoś ciążę lub jej podejrzenie. Uzasadnione badanie stomatologiczne często da się wykonać bezpiecznie, ale decyzja musi być świadoma i zgodna z procedurą.

Czy zabrać stare zdjęcia?

Tak. Porównanie pokazuje, czy zmiana jest nowa, stabilna, gojąca się po leczeniu albo wymaga dalszej diagnostyki.

Ciekawostki obrazowe

Pantomogram ma cienie duchy

Metal może tworzyć odbicia po przeciwnej stronie obrazu. Dlatego usunięcie biżuterii nie jest formalnością.

Język zmienia obraz

Brak kontaktu języka z podniebieniem tworzy ciemny pas powietrza nad korzeniami górnych zębów.

Szkliwo jest bardzo radiopakowe

Duża mineralizacja sprawia, że szkliwo silnie osłabia promieniowanie. Próchnica zwykle pojawia się jako przejaśnienie.

CBCT nie jest ładniejszym OPG

To inna metoda, inna dawka i inna odpowiedzialność. Powinna odpowiadać na pytanie przestrzenne.

Działy tematyczne stomatologii

Tak jak w PET i Gamma Kamerze, dział został rozbity na osobne ścieżki nauki.

Źródła i dalsza nauka

Materiał edukacyjny. Nie zastępuje opisu radiologicznego, badania stomatologicznego ani lokalnych procedur ochrony radiologicznej.